Hàm duy trì là một loại khí cụ không thể thiếu sau khi đã tháo mắc cài niềng răng. Dụng cụ này “ có trách nhiệm” duy trì những giá trị mà mắc cài đã tạo ra qua một thời gian dài trước đó. Với sự phát triển vượt bậc của y học hiện nay, hàm duy trì trở nên rất đa dạng. Có những hiểu biết khái quát về từng loại sẽ giúp ích rất nhiều cho bạn nếu bạn và những người xung quanh đang có ý định tìm hiểu niềng răng. Bạn có thể tham khảo bài viết dưới đây :
Hàm duy trì là gì?
Chỉnh nha là phương pháp sử dụng rất nhiều loại khí cụ như mắc cài, dây cung, dây thun… nhằm tạo ra lực kéo răng về vị trí thích hợp, cải thiện thẩm mỹ nụ cười. Thời gian niềng răng để có hàm răng đều đẹp như bạn mong muốn là khoảng 1 – 3 năm, tùy vào trường hợp và các yếu tố chi phối.

Tuy nhiên, dù là trường hợp nào thì sau khi tháo bỏ khí cụ chỉnh nha xong, bạn đều bắt buộc phải đeo khí cụ hỗ trợ để ổn định và duy trì kết quả sau khi nắn chỉnh. Lúc này hàm răng đã có sự đều đặn và đạt tỷ lệ tương quan khớp cắn chuẩn, nhưng chưa chắc khỏe và ổn định. Loại khí cụ để ổn định răng sau niềng răng được gọi là hàm duy trì.
Hàm duy trì là khí cụ hỗ trợ cho người niềng răng sau khi đã tháo mắc cài và dây cung. Nó có tác dụng giúp cho răng ổn định nhanh chóng hơn, đảm bảo kết quả niềng răng.
Dụng cụ này được các bác sĩ chỉ định sử dụng sau khi ca chỉnh nha hoàn tất và sẽ đeo lên răng của người chỉnh nha sau khi tháo mắc cài niềng răng. Hàm duy trì thường có 2 dạng: cố định và tháo lắp. Khí cụ này có nhiều loại khác nhau tùy vào sự lựa chọn của bạn như khay nhựa, hoặc làm bằng móc kim loại, cũng có thể là khung cố định.
Nhiều người vì quá nóng vội muốn “khoe” ngay hàm răng mới đã chủ quan bỏ qua bước đeo hàm duy trì sau khi tháo mắc cài thường đã dẫn đến tình trạng răng bị xô lệch hay tái phát về vị trí ban đầu.
Tuỳ vào trường hợp mà thời gian đeo niềng sẽ được bác sĩ chỉ định như:
- Với trường hợp chỉnh nha trẻ em, bác sĩ có thể yêu cầu đeo hàng duy trì cho đến độ tuổi trưởng thành vì lúc này răng và xương hàm mới phát triển ổn định,
- Còn đối với trường hợp người trưởng thành, có thể sẽ phải đeo hàm duy trì từ 6 – 12 tháng nếu trình trạng răng và xương hàm phục hồi lâu.
- Còn đối với tình trạng xương hàm và răng của bệnh nhân khỏe mạnh, nhanh chóng hồi phục ổn định thì chỉ cần khoảng từ 1 – 3 tháng đeo hàm duy trì mà thôi.
- Riêng trong trường hợp có người có hàm răng yếu, thì có thể sẽ phải đeo hàm duy trì dài lâu hơn, thậm chí vĩnh viễn để hỗ trợ kết quả lâu dài.
Vai trò của hàm duy trì

Thời điểm sau khi niềng, thông thường răng sẽ gặp áp lực mô mềm trong quá trình niềng răng đồng thời xương và răng cũng chưa kịp thích nghi với sự thay đổi.
Bởi hàm răng đã phải trải qua một đợt chịu lực xiết, cả răng và xương hàm đều còn nhiều nhạy cảm, yếu hơn bình thường và răng vẫn còn chưa ổn định trong xương ổ răng. Thêm vào đó, bệnh nhân còn phải ăn uống, các răng và khớp cắn phải hoạt động nhiều. Do đó, răng dễ có xu hướng về lại vị trí ban đầu.
Như tên gọi, tác dụng của hàm duy trì là đảm bảo kết quả niềng răng, giữ cho các răng ổn định ở nguyên vị trị mới, không bị xô lệch hay sai lệch về thế và chiều răng cho đến khi xương, răng và nướu đã thích nghi với sự thay đổi của hàm răng.
Tương tự như các phương pháp chỉnh hình nha khoa khác, niềng răng cũng yêu cầu phải có sự chăm sóc sau điều trị để hiệu quả được duy trì lâu dài. Và đeo hàm duy trì đúng cách, đúng thời gian cũng là một trong những chế độ chăm sóc răng để đạt hiệu quả lâu dài.
Cần phải đeo hàm duy trì trong bao lâu?
Thời gian đeo hàm duy trì còn tùy thuộc vào tình trạng xương hàm của mỗi người.
Trong đa số trường hợp, bác sĩ thường khuyên bệnh nhân nên đeo máng duy trì niềng răng trong vòng từ 6 – 12 tháng đầu sau khi tháo mắc cài. Đây cũng là khoảng thời gian quan trọng để xương hàm phát triển, tái tạo hài hòa với vị trí răng mới.
Nếu tình trạng xương hàm và răng của bệnh nhân khỏe mạnh, nhanh hồi phục thì chỉ cần đeo hàm duy trì khoảng từ 1 – 3 tháng.
Những người có hàm răng yếu thường bác sĩ sẽ yêu cầu đeo hàm duy trì với thời gian lâu hơn, có thể là vĩnh viễn để hỗ trợ.
Trong một số trường hợp chỉnh nha cho trẻ em, bác sĩ có thể sẽ yêu cầu đeo máng duy trì niềng răng cho đến độ tuổi trưởng thành (khoảng 20 tuổi).
Có thể thấy, mỗi loại hàm duy trì lại có những ưu, nhược điểm khác nhau. Vì vậy, tùy vào trường hợp răng và nhu cầu mà bác sĩ chỉnh nha sẽ lựa chọn loại hàm duy trì phù hợp nhất để sử dụng.
Vì sao phải đeo hàm duy trì sau chỉnh nha?
Thời điểm sau khi niềng, thông thường răng sẽ gặp áp lực mô mềm trong quá trình niềng răng đồng thời xương và răng cũng chưa kịp thích nghi với sự thay đổi.
Bởi hàm răng đã phải trải qua một đợt chịu lực xiết, cả răng và xương hàm đều còn nhiều nhạy cảm, yếu hơn bình thường và răng vẫn còn chưa ổn định trong xương ổ răng. Thêm vào đó, bệnh nhân còn phải ăn uống, các răng và khớp cắn phải hoạt động nhiều. Do đó, răng dễ có xu hướng về lại vị trí ban đầu.
Hàm duy trì là khí cụ hỗ trợ cho người niềng răng sau khi đã tháo mắc cài và dây cung,có tác dụng giúp cho răng ổn định, duy trì kết quả niềng răng. Dụng cụ này được sử dụng khi ca chỉnh nha hoàn tất và sẽ đeo lên răng sau khi tháo mắc cài.
Đeo hàm duy trì sau niềng răng thường có 2 loại đó là cố định và tháo lắp. Khí cụ này có nhiều loại khác nhau, tùy vào lựa chọn của người bệnh mà bác sĩ tiến hành theo nhu cầu
Tương tự như các phương pháp chỉnh hình nha khoa khác, niềng răng cũng yêu cầu phải có sự chăm sóc sau điều trị để hiệu quả được duy trì lâu dài. Và đeo hàm duy trì đúng cách, đúng thời gian cũng là một trong những chế độ chăm sóc răng để đạt hiệu quả lâu dài.
Các loại hàm duy trì khi niềng răng
Có 2 loại hàm duy trì cơ bản: hàm duy trì tháo lắp và hàm duy trì cố định.
Hàm cố định

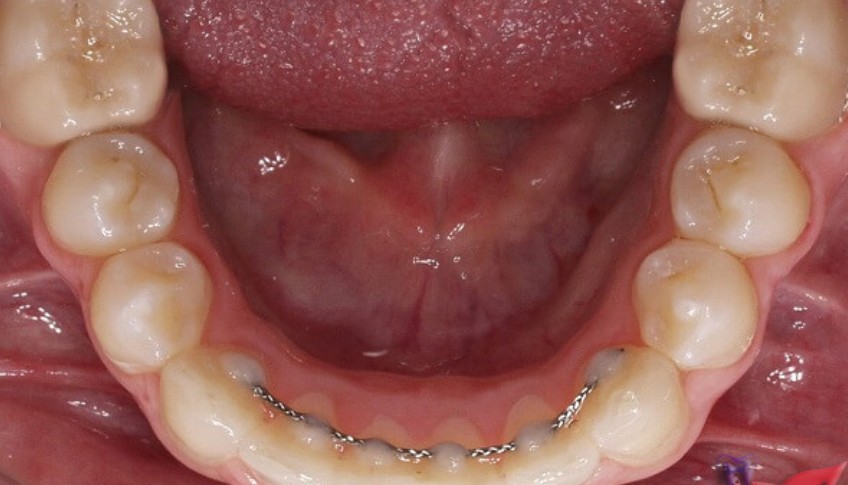
Đây là loại hàm được làm bởi dây thép với nhiều kích cỡ khác nhau và có hình dạng (thẳng, xoắn) được cố định vị trí ở mặt sau của răng trước (các răng số 1,2 và 3) bằng composite. Loại hàm duy trì này có hiệu quả duy trì rất cao, nhưng đòi hỏi bệnh nhân phải thực sự chú ý đến việc chăm sóc, vệ sinh răng miệng. Bạn không thể tự ý tháo hàm duy trì cố định mà cần đến sự giúp đỡ của bác sĩ chỉnh nha mới có thể tháo ra được.
Vì hàm được gắn bằng composite nên đôi khi nó cũng có thể bị bung ra và khi đó bạn nên đến bác sĩ sớm nhất có thể để được gắn lại.
Với loại hàm này, bạn hãy tuân thủ các khyến cáo của bác sĩ về vệ sinh răng miệng thật sạch sẽ, đúng cách và thật nhẹ nhàng.
Hàm tháo lắp
Hàm duy trì tháo lắp được chia thành hai loại : hàm duy trì tháo lắp bằng khay nhựa trong suốt và hàm duy trì tháo lắp bằng kim loại.
– Hàm duy trì bằng khay nhựa là một giải pháp có tính thẩm mỹ cao hiện nay. Sau khi bạn tháo mắc cài, bác sĩ chỉnh nha sẽ lấy mẫu hàm của bạn và làm một máng nhựa trong suốt để bạn đeo. Bạn có thể đeo máng này 24 giờ mà không ảnh hưởng tới thẩm mỹ.

Chú ý rằng sau các bữa ăn, cùng với việc vệ sinh răng miệng, hãy vệ sinh hàm tháo lắp, có thể sử dụng bàn chải vệ sinh “chúng” để loại bỏ các mảng bám và tránh được việc phát sinh các bệnh lý về răng miệng.
– Hàm duy trì tháo lắp kim loại được làm bằng kim loại, rất dễ dàng tháo lắp và có thể chỉ đeo vào ban đêm vì dây kim loại lộ ra ngoài bề mặt răng, tính thẩm mỹ không cao. Ưu điểm của loại hàm này là khả năng giữ răng đúng vị trí rất cao do sự chắc chắn của kết cấu và dây kim loại. Hàm duy trì kim loại hữu ích cho những trường hợp niềng răng mà phải nhổ răng.

Mỗi loại hàm duy trì lại có những ưu, nhược điểm khác nhau vậy nên tuỳ vào trường hợp răng của bạn mà các bác sĩ chỉnh nha sẽ trao đổi và lựa chọn loại hàm duy trì phù hợp nhất với bạn
Đọc thêm: Quên đeo hàm duy trì 1 ngày có sao không?
Lưu ý chăm sóc răng sau khi niềng răng và vệ sinh hàm duy trì
Khi đeo mắc cài niềng răng bạn đã được khuyên rằng phải vệ sinh răng miệng kỹ lưỡng thì khi dùng hàm duy trì sau niềng răng bạn lại càng phải chăm sóc chu đáo hơn thế. Vì đây có thể được xem như bước cuối cùng để chuẩn bị cho bạn có được một hàm răng “mới”, chắc khỏe hơn nên không thể qua loa được.
Bạn phải luôn giữ thói quen phải chải răng sạch sẽ, dùng chỉ tơ nha khoa, bàn chải dành cho người niềng răng và nước súc miệng vì khí cụ duy trì cũng rất dễ bị dắt và lưu giữ lại thức ăn khó làm sạch, dễ dẫn đến hôi miệng, các bệnh về răng. Hàm duy trì phải được rửa qua với nước lạnh và làm sạch các cặn bẩn, vụn thức ăn bằng bàn chải đánh răng lông mềm.
Khi sử dụng hàm duy trì sau khi niềng răng, bạn cần nhớ bảo quản hàm duy trì trong khay hộp chuyên dụng để tránh được tình trạng rơi vỡ hoặc bị mất. Nếu vì lý do gì khiến bạn buộc phải tháo hàm, hãy lưu ý không nên tháo ra quá 12 tiếng trong 6 tháng đầu tiên. Hàm duy trì cần được tháo khi ăn và hoạt động thể thao dưới nước.
Đọc thêm: Chạy răng sau khi chỉnh nha phải làm sao?
Hiện nay, tại Việt Nam, bác sĩ Phạm Hồng Đức là chuyên gia chỉnh nha hiếm hoi có đủ tiêu chuẩn là thành viên của hiệp hội bác sĩ chỉnh nha Hoa Kỳ (American Association for orthodontist – AAO). Với gần 10 năm kinh nghiệm chuyên sâu về lĩnh vực Chỉnh nha – Niềng răng, bác sĩ Phạm Hồng Đức sẽ khiến bạn hoàn toàn yên tâm về chất lượng khám chữa bệnh!
———————