Vì sao phải đeo hàm duy trì sau chỉnh nha? Các loại hàm duy trì khi niềng răng Hàm duy trì là một loại khí cụ không thể thiếu sau khi đã tháo mắc cài niềng răng. Dụng cụ này “ có trách nhiệm” duy trì ...
Lưu ý khi niềng răng mắc cài kim loại Niềng răng mắc cài kim loại là kỹ thuật chỉnh nha phổ biến hiện nay. Tuy nhiên không phải ai cũng nắm rõ các thông tin ...
Khi mọc răng khôn có bị đau đầu, đau tai không? Quá trình mọc răng khôn có thể diễn ra êm đềm, nhưng ở nhiều người lại gây ra các triệu chứng đau nhức, sưng nướu, thậm ...
Mọc răng khôn có đau không? Dấu hiệu khi mọc răng khôn là gì? Mọc răng khôn (hay còn gọi là răng hàm số 8 hoặc wisdom teeth) là giai đoạn mà hầu hết ai trong chúng ta cũng phải trải ...
Răng khôn có tác dụng gì trong việc ăn nhai? Răng khôn có ảnh hưởng đến thẩm mỹ khuôn mặt không? Răng khôn, hay còn gọi là răng hàm số 8 (wisdom teeth), là chiếc răng mọc cuối cùng trên cung hàm, thường xuất hiện khi ...
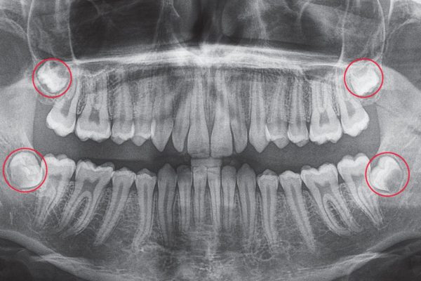
Răng khôn có mấy cái? Có phải ai cũng mọc đủ 4 chiếc răng khôn không? Răng khôn (hay còn gọi là răng hàm số 8, tiếng Anh là wisdom tooth) là những chiếc răng mọc cuối cùng trong cung hàm, ...
Mấy tuổi thì mọc răng khôn? Không mọc răng khôn có sao không? Răng khôn (còn gọi là răng hàm số 8 hay wisdom teeth) là nhóm răng mọc cuối cùng trong hàm người trưởng thành. Dù mang ...
Nhổ răng sữa cho trẻ bao nhiêu tiền? Khi răng sữa gặp vấn đề như sâu, lung lay lâu hoặc mọc lệch, việc nhổ kịp thời là cần thiết để bảo vệ sức khỏe răng ...